С помощью аппарата CEREC можно изготавливать вкладки инлей, онлей, оверлей, эндовкладки; вкладки для шинирования подвижных зубов и реставрации клиновидных дефектов; коронки на все группы зубов, частичные коронки, эндокоронки и виниры. А также мостовидные протезы в области премоляров, клыков, резцов; сборные мостовидные протезы и адгезионные мосты.

Вкладка Инлей

Вкладка Инлей используется при восстановлении дефектов, расположенных в зоне фиссур, а также боковых поверхностей зуба при условии, что сохранены бугры коронковой части зуба.

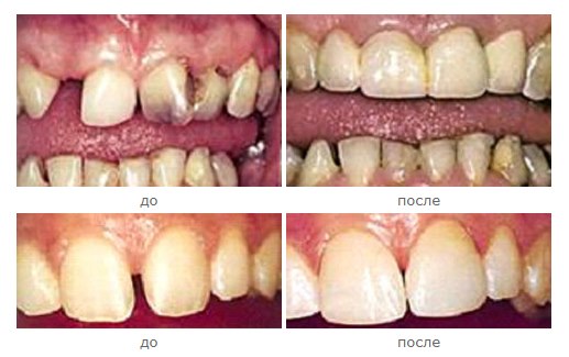
Восстановление утраченных тканей зуба керамическими вкладками и винирами

Вкладка Онлей

Вкладка Онлей используется, если сохранен хотя бы один бугор. Эта вкладка воостанавливает анатомическую форму зуба.

Вкладка Оверлей

Вкладка Оверлей используется, если отсутствуют все бугры, но сохранены боковые стенки зуба. Эта вкладка называется частичной коронкой или окклюзионной накладкой.

Вкладка Эндо-онлей

Восстановление утраченных тканей зуба керамическими вкладками и винирами

Виниры

Винир - это тонкая фарфоровая облицовка, которой покрывают переднюю поверхность зубов. Фарфоровые виниры - одно из самых последних достижений современной стоматологии. Они очень популярны среди пациентов, желающих иметь красивую и безукоризненную улыбку, потому что используются для улучшения внешнего вида зубов. Изготовление виниров с помощью аппарата CEREC значительно повышает точность конструирования. На экране монитора моделируется недостающая часть зуба, тщательно обрисовывая ее границы. Увеличенное в 12 раз изображение позволяет необыкновенно точно проделать эту процедуру.

Преимущества восстановления зубов с помощью аппарата CEREC:

• Максимально точное изготовление вкладки благодаря конструированию при 12 кратном увеличении модели зуба на мониторе. Что позволяет выдерживать зазор между вкладкой и стенкой зуба от 25 до 60 мкм, а значит использовать минимальное количество адгезионного материала для фиксации.

• Исключается возможность повреждения дентина и эмали под внешним воздействием благодаря фиксации конструкции через короткое время после препарирования.

• Вкладка вытачивается из высококачественного фарфора, изготовленного промышленным путем и имеющего однородную структуру на стадии "бисквита", что позволяет сохранить оптимальную прочность и твердость, близкую к эмали зуба. Такой фарфор прекрасно полируется или может глазироваться и подкрашиваться в печке для обжига керамики.

Контактная информация

info@novogilov.ru

+7 (495) 004-01-44
Whatsapp

Мы находимся

Стоматологический центр Бутово
г. Москва, ул. Куликовская, д.7

Мы работаем

Ежедневно с 9 до 21


Акция Отбеливание
×
Запись на консультацию в клинику Online
×

Запись на консультацию



Пожалуйста, заполните требуемые поля